Dr Adrien COURONNE
Chirurgien-dentiste à Gap
Dr Adrien COURONNE
Chirurgien-dentiste à Gap

Accidents domestiques Cas cliniques du Dr. Adrien COURONNE, chirurgien-dentiste à Gap

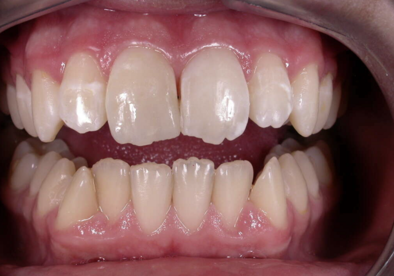
Cas n°1

L'idéal est de récupérer le morceau cassé et intervenir au plus vite pour recoller le fragment sous champ opératoire. Il faut impérativement garder le morceau dans le lait ou la salive.

Avant
Après
Accidents domestiques - Cas cliniques cabinet dentaire à Gap
Avant
Après
Accidents domestiques - Cas cliniques du Dr. Adrien COURONNE à Gap

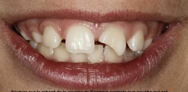
Cas n°2

Fragment récupéré et recollé

Avant
Après
Accidents domestiques -  Cas cliniques du Dr. Adrien COURONNE, chirurgien-dentiste à Gap

Création par Webdentiste

Connexion