Dr Adrien COURONNE
Chirurgien-dentiste à Gap
Dr Adrien COURONNE
Chirurgien-dentiste à Gap

Facettes Cas cliniques du Dr. Adrien COURONNE, chirurgien-dentiste à Gap

Une étude esthétique soigneuse est proposée et une séance de masque est effectuée pour valider le projet

la réalisation de facettes céramique est envisagée. La ligne du sourire est transformée. Nous faisons appel à un laboratoire spécialisé (meilleur ouvrier de France). 

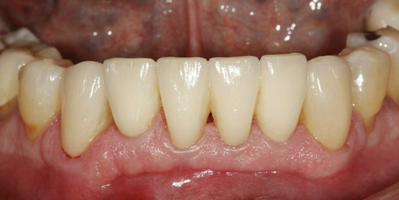
Cas n°1

Avant
Après
Facettes - cas clinique Dr COURONNE à Gap

Cas n°2

Avant
Après
Esthétique du sourire - cas clinique Dr COURONNE à Gap

Cas n°3

Avant
Après
Esthétique dentaire - cas clinique Dr COURONNE à Gap

Création par Webdentiste

Connexion