Dr Adrien COURONNE
Chirurgien-dentiste à Gap
Dr Adrien COURONNE
Chirurgien-dentiste à Gap

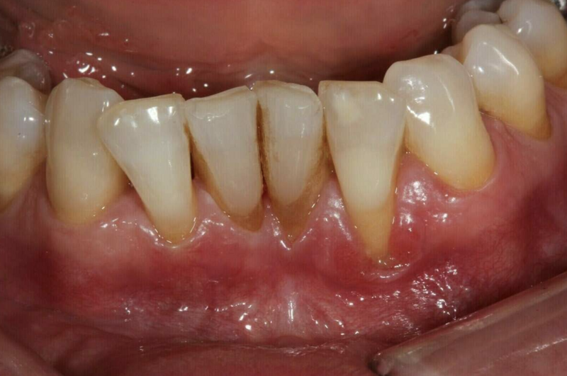
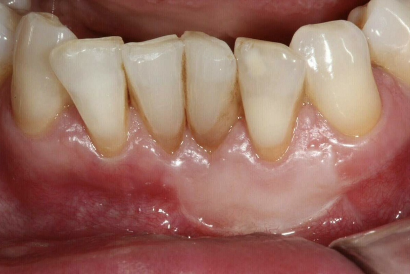
Greffe gingivialeCas cliniques du Dr. Adrien COURONNE, chirurgien-dentiste à Gap

Dans le cas où on est en présence d'une récession gingivale et que celle-ci continue de progresser soit par la maladie parodontale soit par un brossage traumatique ou que le sensibilité thermique est importante et gênante, on peut greffer de la gencive et maintenir un environnement propice à l'hygiène.

Avant
Après
Greffe gingivale - Cas cliniques du Dr. Adrien COURONNE à Gap

Création par Webdentiste

Connexion