Dr Adrien COURONNE
Chirurgien-dentiste à Gap
Dr Adrien COURONNE
Chirurgien-dentiste à Gap

ZirconesCas cliniques du Dr. Adrien COURONNE, chirurgien-dentiste à Gap

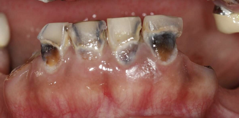
La zircone est une base céramique très dure et résistante qui peut être stratifiées par une céramique plus esthétique et plus tendre : c'est la dentisterie esthétique. La zircone peut être full ou monolithique et est réservée aux dents postérieures car moins esthétique mais plus résistante. La zircone est très biocompatible. 

Avant
Après
Zircone - traitement au cabinet du Dr COURONNE à Gap
Zircone - cas clinique Dr COURONNE à Gap

Création par Webdentiste

Connexion