Dr Adrien COURONNE
Chirurgien-dentiste à Gap
Dr Adrien COURONNE
Chirurgien-dentiste à Gap

ÉclaircissementCas cliniques du Dr. Adrien COURONNE, chirurgien-dentiste à Gap

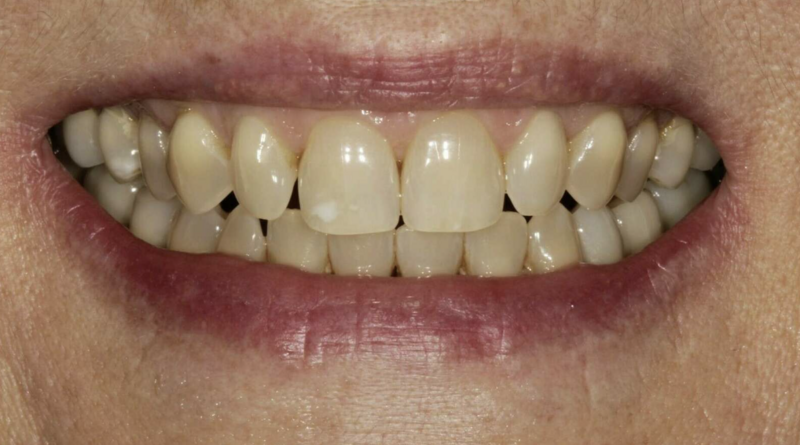
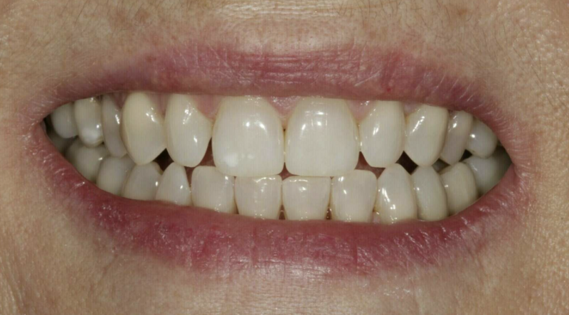
Cas n°1

Avant
Après
Éclaircissement - Cas cliniques du Dr. Adrien COURONNE à Gap

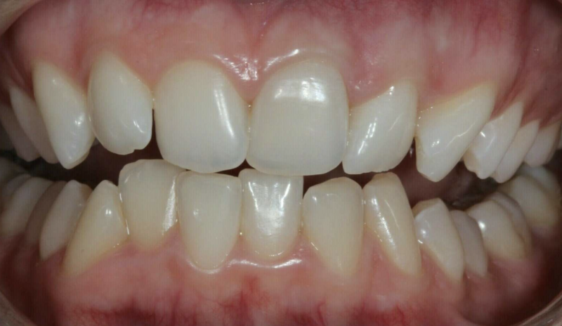
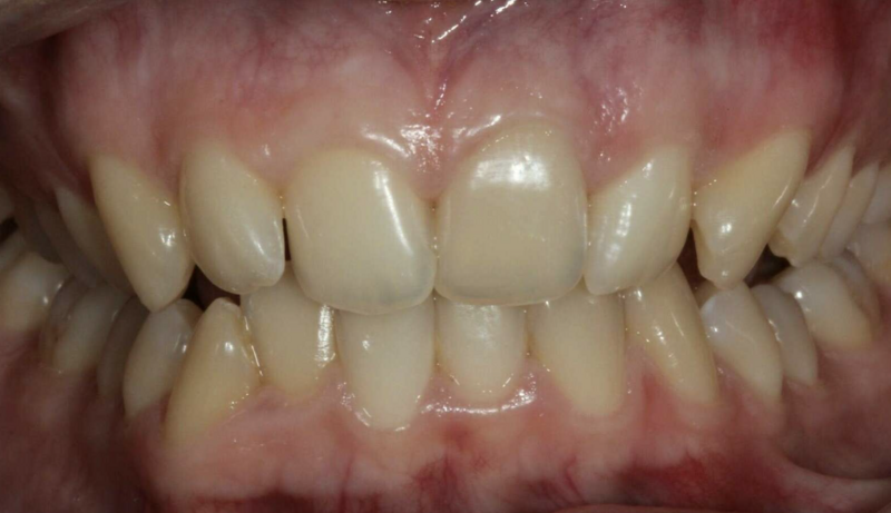
Cas n°2

Avant
Après
Éclaircissement - Cas cliniques du cabinet dentaire à Gap

Cas n°3

Il s'agit d'un éclaircissement ambulatoire externe par gouttières thermoformées (port nocturne) et le produit est limité dans sa concentration suite aux nouvelles normes européennes ceci pour éviter les sensibilités post-traitement. 

Au préalable un détartrage avec surfaçage et polissage soigneux est effectué et une analyse des restaurations dentaires est faite pour éviter toute infiltrations. Si une dent est dévitalisée, un éclaircissement interne est proposé. 

Avant
Après
Éclaircissement - Cas cliniques du Dr. Adrien COURONNE, chirurgien-dentiste à Gap

Création par Webdentiste

Connexion