Dr Adrien COURONNE
Chirurgien-dentiste à Gap
Dr Adrien COURONNE
Chirurgien-dentiste à Gap

Cas cliniques

Accidents domestiques

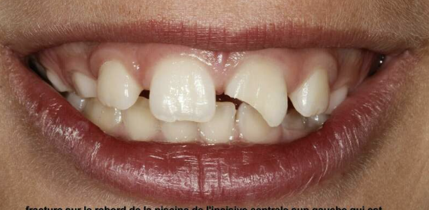
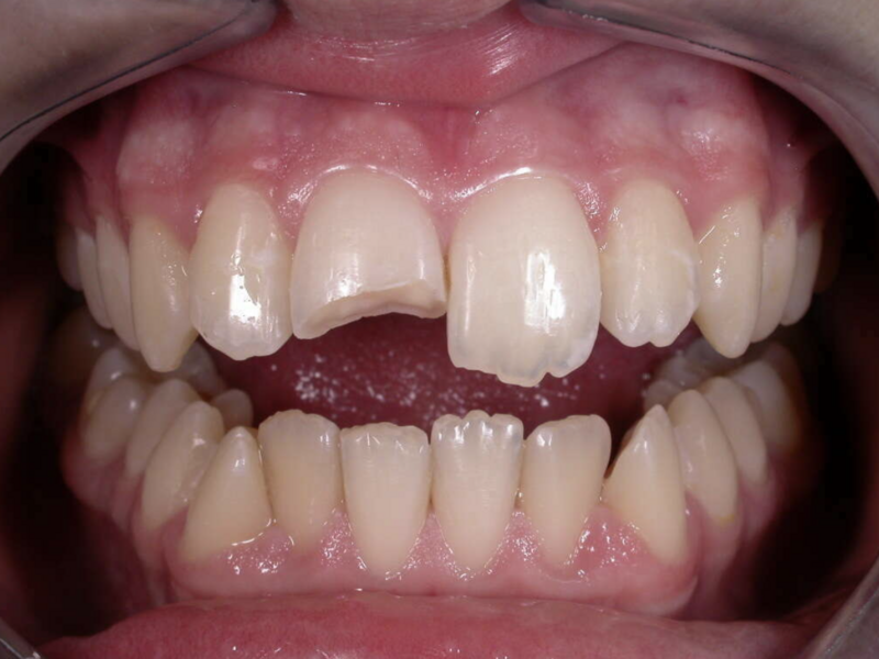
Cas n°1

L'idéal est de récupérer le morceau cassé et intervenir au plus vite pour recoller le fragment sous champ opératoire. Il faut impérativement garder le morceau dans le lait ou la salive.

Avant
Après
Avant
Après

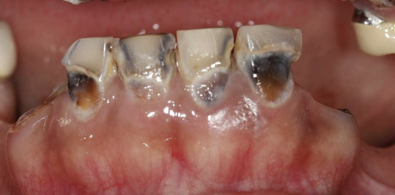
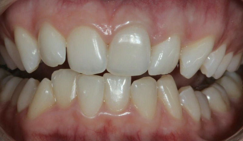
Cas n°2

Fragment récupéré et recollé

Avant
Après

Éclaircissement

Cas n°1

Avant
Après

Cas n°2

Avant
Après

Cas n°3

Il s'agit d'un éclaircissement ambulatoire externe par gouttières thermoformées (port nocturne) et le produit est limité dans sa concentration suite aux nouvelles normes européennes ceci pour éviter les sensibilités post-traitement. 

Au préalable un détartrage avec surfaçage et polissage soigneux est effectué et une analyse des restaurations dentaires est faite pour éviter toute infiltrations. Si une dent est dévitalisée, un éclaircissement interne est proposé. 

Avant
Après

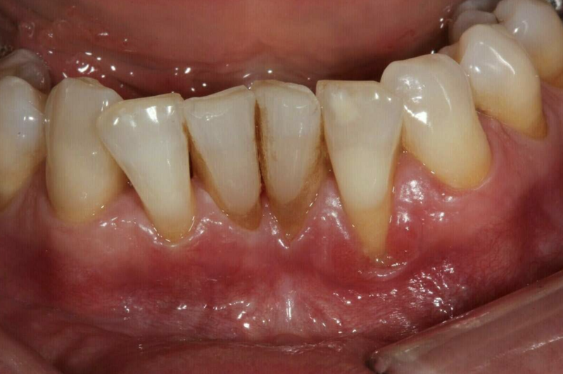
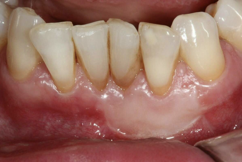
Greffe gingivale

Dans le cas où on est en présence d'une récession gingivale et que celle-ci continue de progresser soit par la maladie parodontale soit par un brossage traumatique ou que le sensibilité thermique est importante et gênante, on peut greffer de la gencive et maintenir un environnement propice à l'hygiène.

Avant
Après

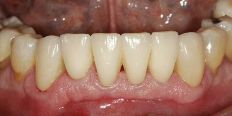
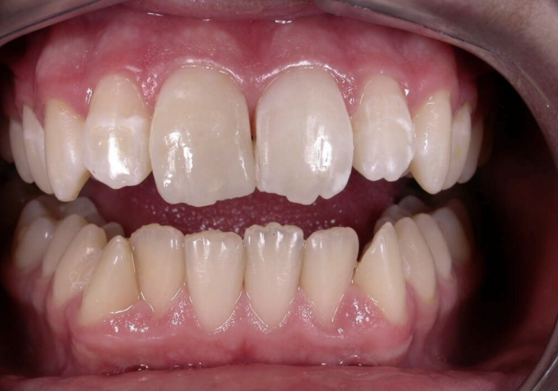
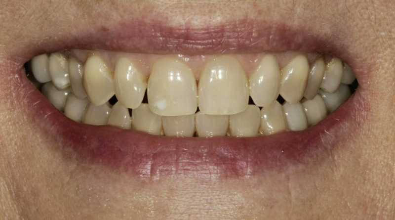
Implants

Il s'agit d'un cas d'une chute avec expulsion de l'incisive centrale droite et fracture de l'incisive centrale gauche.

Un implant avec greffe osseuse a été posé en site de l'incisive droite et une facette sur dent dévitalisée sur l'incisive gauche.

La réalisation a été faite par un laboratoire meilleur ouvrier de France.

Carries

Sous champ opératoire la carie est nettoyée et suivant l'importance de la cavité on peut envisager un composite dans la séance avec un protocole d'adhésion rigoureux.

Cas n°1

Avant
Après

Cas n°2

Avant
Après

Onlay

La restauration d'une cavité importante suite à une atteinte carieuse est aujourd'hui privilégiée par la pose d'un onlay céramique collé car pérenne dans le temps. Le protocole précis et sous champ opératoire. La dentisterie adhésive nous affranchi de beaucoup de mutilation dentaire.

Cas n°1

Avant
Après

Cas n°2

Avant
Après

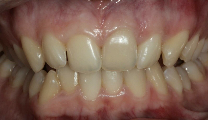
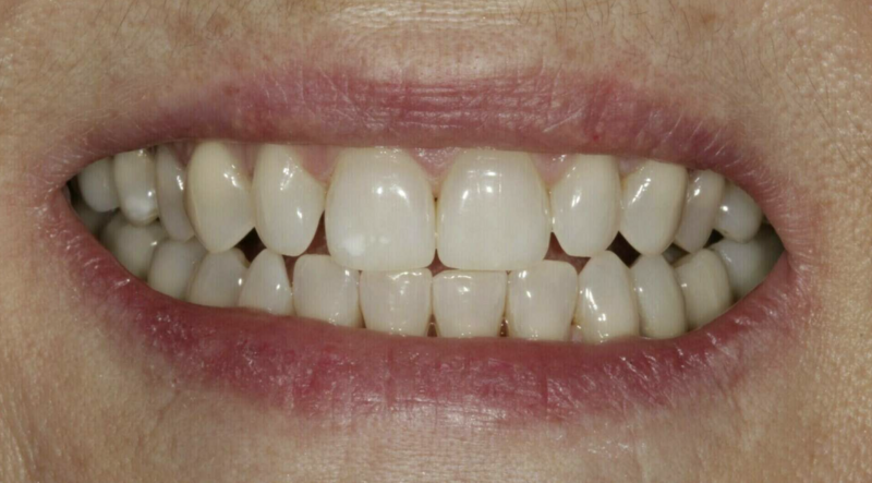
Facettes

Une étude esthétique soigneuse est proposée et une séance de masque est effectuée pour valider le projet

la réalisation de facettes céramique est envisagée. La ligne du sourire est transformée. Nous faisons appel à un laboratoire spécialisé (meilleur ouvrier de France). 

Cas n°1

Avant
Après

Cas n°2

Avant
Après

Cas n°3

Avant
Après

Zircone

La zircone est une base céramique très dure et résistante qui peut être stratifiées par une céramique plus esthétique et plus tendre : c'est la dentisterie esthétique. La zircone peut être full ou monolithique et est réservée aux dents postérieures car moins esthétique mais plus résistante. La zircone est très biocompatible. 

Avant
Après

Création par Webdentiste

Connexion