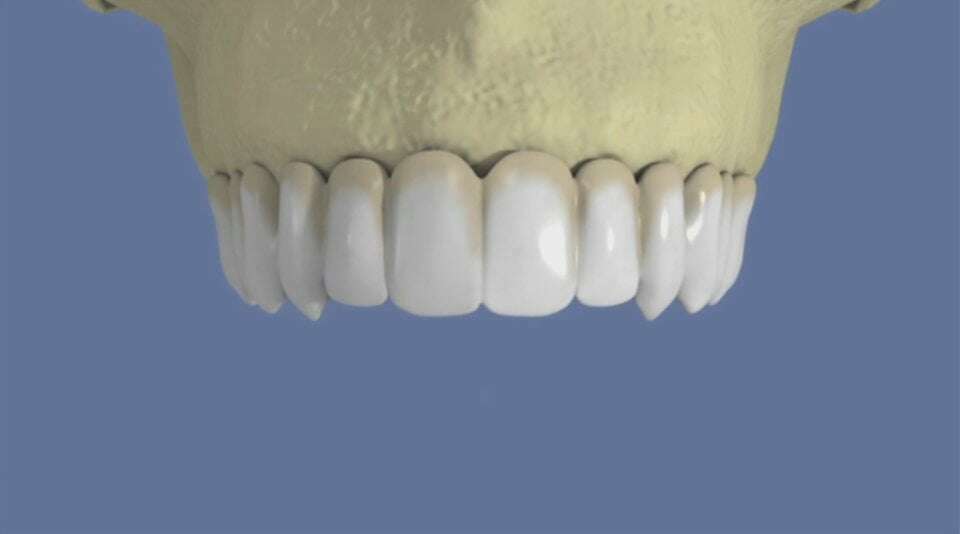
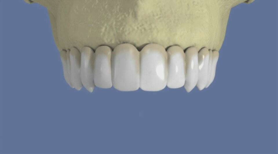
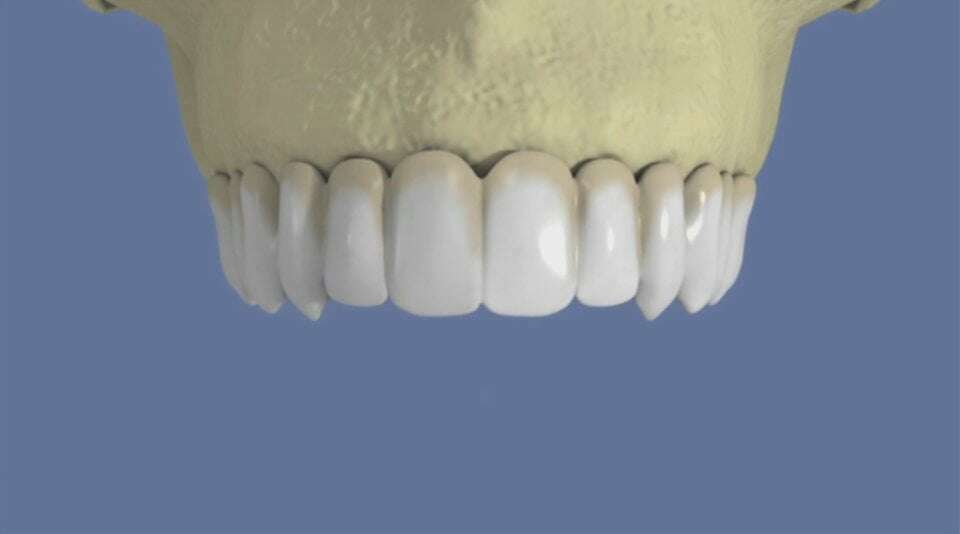
Maxillaire complet et traitement implantaire pour un bridge fixe vissé
Catégories
- Fiches conseils (154)
- Vidéos 3D (56)
Dr Adrien COURONNE
Chirurgien-dentiste
3 Rue des marronniers
05000
Gap
| Lundi | 8h30 - 19h |
| Mardi | 8h30 - 19h |
| Mercredi | 8h30 - 19h |
| Jeudi | 8h30 - 19h |
| Vendredi | 8h30 - 19h |
| Samedi | Fermé |
| Dimanche | Fermé |
Vidéo en cours de lecture